рублей
до
31.11.2018
0%
рассрочка
до5
лет
расширенная
гарантия*
Нажимая на кнопку, вы даете согласие на обработку своих персональных данных
* На усмотрение доктора
До 6 коронок за один день
Коронку не отличить от родного зуба
Лечим по стандартам стоматологий Германии
Диагностика · 10 мин
Врач оценит состояние твёрдой ткани зубов, анализирует рентгенологические диагностические снимки
1
Обработка зуба · до 30 мин
Препарирование зуба под будущую вкладку-коронку-винир
2
Сканирование · до 20 мин
Сканируем поверхность зубов
3
Моделирование
на компьютере · от 15 мин
На экране компьютера моделируем будущую конструкцию
4
Вытачивание · до 30 мин
Вытачивание на программном станке вашей коронки
5
Установка коронки · до 15 мин
Фиксируем коронку на супер современные надёжные цементы
6
Осмотр состояния полости рта
Консультация профильных специалистов
(ортопеда, хирурга, ортодонта, парадонта)
Составление плана лечения
Составление сметы лечения
БОНУС! Бесплатный цифровой подбор улыбки!
Очень хорошая клиника. Красивый интерьер, домашняя обстановка, чуткое отношение администратора, всегда предложат кофе/чай. Мне здесь восстанавливали зуб новыми технологиями. За какие-то два часа у меня появился новый зуб. Большое спасибо доктору, советую всем эту клинику!
читать полностью
Просто немного фактов: 1) пломба на одном из передних зубов подобрана настолько хорошо, что я сама не могу её обнаружить даже при пристальном рассмотрении в увеличивающее зеркало, 2) зуб с глубоким опоясывающим кариесом, на котором я уже поставила крест и морально готовилась как минимум к протезированию, удалось спасти и оставить в живых нерв, 3) собственно кабинет протезирования — это практически центр управления космическими полётами: вместо слепка зубов — сканирование и выстраивание высокоточной 3d-модели, которая затем воплощается в керамике. Ну, и 4) здесь же лечили зубы муж, свекровь, а теперь ещё и мама, и для всех действует «семейная» скидка.
читать полностью
У меня была проблема: зуб был под металлической коронокой, состояние её было плачевное. Меня давно напрягала эта проблема. Я узнала, что в клинике «Доктор Дент» можно поставить коронку за одно посещение. Пришла на консультацию. Там мне подробно рассказали о процедуре, показали аппарат, на котором будет изготавливаться коронка. Пока я пила кофе, специалисты клиники сделали коронку. Установка прошла быстро, и вот, всего за одно посещение я избавилась от проблемы, которая давно меня мучила! Спасибо доктором клиники «Доктор Дент»! Всем рекомедую!
читать полностью
Хочу сказать большое спасибо Дмитрию Николаевичу за первоклассную работу! Один зуб в нижнем ряду был почти полностью разрушен, это вызывало неудобство и стеснение. По совету знакомых я обратился в клинику. Всего около 2 часов потребовалось на работу, и вот я уже выхожу из клиники с новым зубом. Желаю успеха и процветания клинике «Доктор Дент»!
читать полностью
Спасибо огромное коллективу клиники «Доктор Дент»! Мы всей семьёй доверяем только вашим рукам. Хочу выразить особую благодарность Романовой Оксане Александровне, очень нежная, мягкий подход, при этом безупречный и профессиональный! Редко найдёшь такого доктора! Дмитрий Николаевич чёткий и оперативный, настоящий профи!!! Спасибо за красивые и здоровые зубки! От мужа отдельное. Спасибо Ларисе Владимировне, жаль, что Вы бываете здесь редко! Удачи и процветания!
читать полностью
Очень благодарна за выполненную работу, довольства и всех благ коллективу клиники, успехов и процветания. И личная благодарность Дмитрию Николаевичу. Спасибо!
читать полностью
Здоровья, здоровья и ещё раз здоровья. И много, много благодарных пациентов!
читать полностью
Романова Оксана Александровна
Стоматолог-терапевт
Смирнова Людмила Игоревна
Врач стоматолог-терапевт
Романова Оксана Александровна
летстаж
Стоматолог-терапевт
Специализация:
Цифровая стоматология
Терапия
Гигиена
Лазерная стоматология
Лечение дёсен
Смирнова Людмила Игоревна
летстаж
Стоматолог-хирург
Специализация:
Цифровая стоматология
Терапия
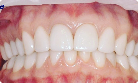
В нашей клинике «Доктор Дент» проведено тотальное протезирование. Все зубы покрыты цифровыми безметалловыми коронками E.max (цвет Bleach), изготовленными на аппарате Cerec.
Пациентка давно комплексовала из-за потемневшего зуба, портящего ее улыбку. Мы за одно посещение изготовили коронку, которая очень хорошо подошла в цвет натуральных зубов. Пациентка осталась очень довольна результатом.
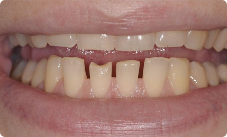
Пациентка обратилась с жалобами на промежутки между нижними резцами и их стираемость. Специалисты нашей стоматологической клиники предложили решение: закрыть промежутки и восстановить форму зубов винирами (тонкими металлическими пластинками). Всего за одно посещение мы выполнили всю работу — от обработки зубов и до фиксации.
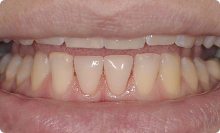
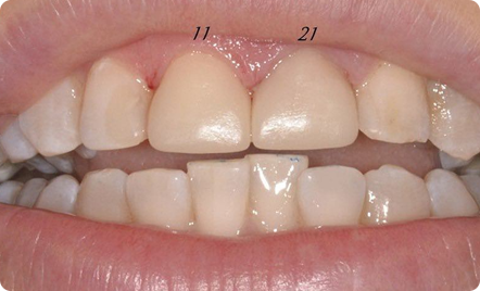
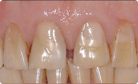
Пациент обратился с проблемой: два центральных верхних резца разрушены, изменены в цвете. С помощью технологии Cerec (Sirona — Германия) — мы изготовили и сразу же в это посещение установили 2 цифровые керамические коронки E.max-cad. На всю работу (от препарирования и до фиксации) ушло 2 часа 40 минут.
Пациент обратился с жалобами на эстетический недостаток фронтальных зубов. Мы предложили решение: восстановление эстетики керамическими винирами E.max. Зубы 1.3, 1.2, 1.1, 2.1, 2.2, 2.3 были минимально обработаны и покрыты тонкими керамическими винирами. Вся работа была выполнена за ОДНО посещение!
Можете оставить заявку на звонок и мы
с вами свяжемся в удобное для вас время
г. Омск, ул. Крупской, д. 8, к. 1
Пн—Пт: 9:00—20:00
Сб: 9:00—15:00